Xã hội phát triển là lúc mà con người ngày càng quan tâm đến hình thức bên ngoài, đặc biệt là hàm răng. Tuy nhiên có đến 80 – 90% trẻ em đến người trưởng thành đang gặp các vấn đề như răng bị hô, vẩu, sai lệch khớp cắn, khấp khểnh, thưa. Niềng răng chính là phương pháp hiệu quả nhất giúp khắc phục triệt để tình trạng trên. Để giúp các bạn có thêm động lực sẵn sàng cho quá trình niềng răng, dưới đây chúng tôi xin chia sẻ trọn bộ hình ảnh thay đổi bất ngờ trước – sau niềng của các khách hàng tại Nha khoa Thúy Đức nhé!
Mục lục
Tổng hợp hình ảnh trước – sau niềng răng cho các trường hợp tại Nha khoa Thúy Đức
Hình ảnh trước – sau niềng răng với răng hô (vẩu)






Răng hô hay còn gọi răng vẩu là một trong những dạng sai lệch tương quan giữa răng hàm trên và hàm dưới. Khi đó, răng cửa hàm trên sẽ chìa ra phía trước làm cho 2 môi không khép lại được một cách tự nhiên. Càng cố khép môi càng dẫn tới co kéo cơ cằm, nhăn nhúm vùng da khiến mặt bị già trước tuổi. Nguyên nhân hình thành hàm hô đa phần là do yếu tố di truyền (ông bà, bố mẹ cũng từng bị hô nên truyền lại cho con cháu), thói quen xấu như mút tay, đẩy lưỡi, ngậm núm vú giả quá nhiều… Có thể nói, răng hô ảnh hưởng rất lớn về mặt thẩm mỹ, khiến mọi người thiếu tự tin khi giao tiếp, cản trở việc ăn uống, vệ sinh răng miệng…
Giải đáp thắc mắc: Niềng răng xong có bị hô lại không?
Hình ảnh trước – sau niềng răng với răng móm

Răng móm cũng là dạng sai khớp cắn tương quan giữa 2 hàm nhưng ngược lại với răng hô. Tuy răng phát triển bình thường nhưng khi khép miệng thì răng hàm dưới phủ lên răng hàm trên, cằm chìa ra trước, gây mất cân đối cho khuôn mặt, tạo cảm giác mặt bị “gãy” và ảnh hưởng đến chức năng ăn nhai. Có 3 trường hợp móm mà móm do răng, móm do xương hàm hoặc móm do cả 2 yếu tố trên.
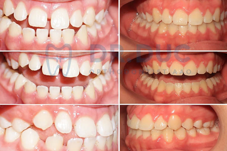
Hình ảnh trước – sau niềng răng với răng thưa



Răng thưa là tình trạng các răng trên cùng một hàm nhưng mọc khá xa nhau, có kẻ hở, hoặc răng mọc không đầy đủ, thiếu sự đồng đều. Bạn có thể quan sát khe hở giữa các răng to hay nhỏ biểu thị mức độ răng bị thưa nặng hay nhẹ. Những ai rơi vào tình trạng này sẽ khó khăn trong việc ăn uống và vệ sinh răng miệng, bởi khi ăn, thức ăn nhỏ, dai sẽ bám sâu vào kẽ răng. Ngoài ra, răng thưa cũng làm cho việc phát âm không được chuẩn xác.
Đọc thêm: Niềng răng thưa có phải nhổ răng không?
Hình ảnh trước – sau niềng răng với răng khấp khểnh



Răng khấp khểnh là tình trạng răng mọc lệch vị trí, lệch phương ngang và lệch chiều thẳng đứng so với răng bình thường. Các răng mọc chồng chéo hoặc xoắn vào nhau khiến cho khớp cắn bị lệch, biến dạng. Nguyên nhân làm cho răng bị khấp khểnh là bởi các mầm xương sắp xếp bị lệch lạc trong quá trình mọc răng vĩnh viễn. Hoặc mất hay nhổ răng sữa quá sớm khiến xương hàm bị tiêu biến, không thể định hình vị trí có răng vĩnh viễn mọc lên…
Tham khảo thêm: Răng khấp khểnh niềng hết bao nhiêu tiền?
Hình ảnh trước – sau niềng răng với răng sai khớp cắn







Răng sai lệch khớp cắn còn có nhiều dạng khác nhau như: khớp cắn sâu, khớp cắn hở, khớp cắn đỉnh, khớp cắn chéo…
- Khớp cắn sâu: Là khi tình trạng răng hàm trên che phủ hàm dưới, khó nhìn thấy hoặc không thấy hàm dưới.
- Khớp cắn hở: Là khi răng cửa bị hở nên có thể nhìn thấy lưỡi ngay cả khi khép răng ở trạng thái bình thường.
- Khớp cắn đối đỉnh: Là khi đỉnh răng của hai hàm đối đầu với nhau, vùng răng hàm không chạm hoặc chạm rất ít.
- Khớp cắn chéo: Không biểu hiện quá rõ ràng trên khuôn mặt mà chỉ lộ ra khi cười. Người bị trường hợp này các răng bị xô lệch, cái thò ra, cái thụt vào không theo trật tự, không biết là bị móm hay vẩu.
Hình ảnh trước – sau niềng răng với răng phức tạp khác





Tổng hợp hình ảnh trước – sau niềng răng cho các phương pháp tại Nha khoa Thúy Đức
Hình ảnh trước- sau với niềng răng mắc cài kim loại

Hỏi đáp: Niềng răng có làm thay đổi góc nghiêng không?





Niềng răng mắc cài kim loại là phương pháp truyền thống được đánh giá cao về hiệu quả, có thể khắc phục cả trường hợp răng bị hô, vẩu, móm, lệch lạc, khấp khểnh… từ nhẹ đến nặng. Mắc cài kim loại tại Nha khoa Thúy Đức được chia thành 2 loại là mắc cài thường và mắc cài tự buộc.
- Mắc cài kim loại thường: Được cấu tạo gồm dây cung cố định trong rãnh mắc cài nhờ thun buộc cố định. Thun này có độ đàn hồi tốt, đảm bảo quá trình chỉnh răng diễn ra liên tục.
- Mắc cài kim loại tự buộc: Có điểm vượt trội khi thiết kế nắp trượt giúp giữ dây cung trong mắc cài. Khi đó dây cung trượt tự do trong rãnh mắc cài, giảm tối đa lực ma sát và thời gian niềng răng.
Tại Nha khoa Thúy Đức, hiểu rõ được tầm quan trọng của hệ thống khí cụ đến kết quả chỉnh nha, chúng tôi đã lựa chọn mắc cài DAMON thông minh mới nhất của hãng ORMCO mang tên DAMON Q cho mắc cài kim loại.
- Phần thiết kế các mặt được bo viền cẩn thận nên không sợ tổn thương đến má, nướu, quá trình vệ sinh cũng dễ dàng hơn.
- Phần mắc cài có thể tự giữ dây cung, chỉ cách răng 1 khoảng rất nhỏ nhằm giảm bớt áp lực lên răng.
- Phần dây cung được làm từ chất liệu mềm dẻo, linh hoạt khi ở ngoài. Nhưng lúc lắp đặt bên trong mắc cài, nhờ nhiệt độ ấm nóng của cơ thể trong miệng mà chúng trở nên cứng, thẳng và có thể trở về với hình dáng thông thường. Quá trình niềng răng diễn ra tự nhiên, thoải mái và không làm mất đi giá trị thẩm mỹ.
Hình ảnh trước- sau với niềng răng mắc cài sứ

Niềng răng mắc cài sứ có cấu tạo và cơ chế hoạt động tương tự với mắc cài kim loại. Tuy nhiên chúng khác ở chỗ: mắc cài làm từ chất liệu sứ cao cấp, màu sắc trùng với màu răng nên tính thẩm mỹ cao hơn. Khách hàng cũng cảm thấy hoàn toàn tự tin khi giao tiếp khi không lộ dấu vết đang chỉnh nha. Bên cạnh đó, chất liệu sứ không gây kích ứng cho cơ thể, ít gờ cạnh, không làm đau môi, nướu. Tại Nha khoa Thúy Đức, niềng răng mắc cài sứ cũng được chia làm 2 loại là: mắc cài sứ thường và mắc cài sứ tự buộc.
Đặc biệt, niềng răng mắc cài sứ tự buộc sử dụng mắc cài DAMON thông minh của hãng ORMCO mang tên DAMON CLEAR 2 với nhiều ưu điểm vượt trội:
- Màu sắc sát màu răng, gần như không nhìn thấy bạn đang niềng răng.
- Nhân đôi khả năng xoay hỗ trợ quá trình niềng răng nhanh hơn, tiết kiệm tối đa thời gian.
- Chống nhiễm màu, bị ố vàng mắc cài.
- Giảm tình trạng đau nhức khi niềng so với công nghệ cũ.
- Hàm răng chắc khỏe, ít bị bào mòn, suy yếu hơn trước.
- Giảm thiểu các kẽ răng, hạn chế vi khuẩn, mảng bám còn đọng lại.
Hình ảnh trước – sau với niềng răng trong suốt Invisalign

Niềng răng trong suốt Invisalign được đánh giá là phương pháp niềng răng hiện đại nhất hiện nay khi sử dụng khay niềng trong suốt, không cần đến các khí cụ cồng kềnh khác. Mỗi khách hàng sẽ có riêng một bộ khay thiết kế riêng biệt và duy nhất với số lượng từ 20 – 48 khay. Trung bình khoảng 2 tháng bạn sẽ tái khám 1 lần nhằm đảm bảo răng dịch chuyển từng chút một đến vị trí như mong muốn.
Niềng răng trong suốt Invisalign nổi bật với khay niềng SmartTrack trong suốt làm từ nhựa Polyurethane đa lớp cao cấp, được tối ưu hóa chỉ được sử dụng riêng cho điều trị chỉnh nha Invisalign. Khay SmartTrack cũng là thành quả nghiên cứu sau 8 năm với hơn 260 loại chất liệu để tìm ra loại nhựa tốt nhất với các ưu điểm vượt trội:
- Giúp đẩy nhanh tốc độ di chuyển răng hơn 50% so với các nhãn hiệu khác.
- Kết hợp chung với miếng đệm SmartForce giúp dịch chuyển răng chính xác hơn.
- Tính thẩm mỹ cao nhất với độ trong suốt đạt tới 99% gần như “vô hình”, không lo sợ bị ố vàng.
- Được thiết kế hoàn hảo, không hề có sắc cạnh, không sợ bị đau nhức do lực siết khi mà cường độ dịch chuyển của khay niềng sẽ từ từ theo. thời gian.
- Ăn uống hay vận động đều thoải mái theo ý thích, không sợ bị bung sứt khí cụ, không sợ bị hóp má khi bạn vẫn ăn uống bình thường, đầy đủ dinh dưỡng.
- Vệ sinh răng miệng đơn giản khi có thể tháo khay niềng ra.
- Hạn chế tối đa các bệnh về răng miệng khi mà khay niềng luôn được vệ sinh sạch sẽ trước khi đeo.
- Ít phải thăm khám thường xuyên do không cần siết khí cụ. Thời gian mỗi lần thăm khám cũng nhanh hơn.
Hình ảnh tự tin của khách hàng sau khi tháo niềng tại Nha khoa Thúy Đức
Tại sao lại chọn niềng răng tại Nha khoa Thúy Đức?
Bác sĩ Phạm Hồng Đức- chuyên gia chỉnh nha AAO

Đặc biệt, đến với Nha khoa Thúy Đức, toàn bộ quá trình niềng răng sẽ do bác sĩ Phạm Hồng Đức- người đã có nhiều năm kinh nghiệm trong lĩnh vực chỉnh nha:
- Bác sĩ Đức được hãng Invisalign đánh giá là bác sĩ TOP 1 tại Đông Nam Á và TOP 1 về kinh nghiệm, chuyên môn tại Việt Nam
- Bác sĩ đầu tiên tại Châu Á đạt thứ hạng Red Diamond trên bản đồ Invisalign toàn cầu
- Bác sĩ có số lượng khách hàng niềng Invisalign nhiều nhất Việt Nam năm 2021
- Bác sĩ thuộc Hiệp hội chỉnh nha Hoa Kỳ AAO
- Bác sĩ thuộc Hiệp hội nắn chỉnh răng thế giới IAO, Hiệp hội chỉnh nha thế giới WFO
- Dịch giả của những cuốn sách chỉnh nha nổi tiếng như 1001 bí kíp lâm sàng trong chỉnh nha (2015), Các ca lâm sàng trong chỉnh nha (2015), Cơ sinh học trong chỉnh nha (2016),…
- Bác sĩ Đức đã có kinh nghiệm điều trị hơn 7000 ca chỉnh nha, được coi là một trong những bác sĩ có số lượng KH niềng răng lớn nhất Hà Nội.
- Là người đầu tiên đưa phương pháp Niềng không nhổ răng F.A.C.E từ nước ngoài về ứng dụng tại Việt Nam, giúp hạn chế tối đa việc nhổ răng thậm chí không cần nhổ răng mà vẫn mang lại hiệu quả điều trị cao nhất.
Hệ thống cơ sở vật chất tại Nha khoa Thúy Đức

Trong thời đại mới 4.0, nhận rõ được tầm quan trọng của công nghệ với chỉnh nha, Nha khoa Thúy Đức liên tục cập nhật những thiết bị hiện đại nhất để phục vụ khách hàng. Điển hình trong đó là máy quét dấu răng iTero 5D Plus độc quyền có thể chẩn đoán, theo dõi tiến độ và cho kết quả chỉ trong 1 phút. Ngoài ra, bạn còn nhìn rõ được kết quả niềng răng của mình trong tương lai. Bên cạnh đó là: máy chụp toàn hàm Panorama, máy Propel Vpro+, máy chụp X-quang Vatech Pax-i… với hình ảnh đa chiều chân thực nhất. Nhờ có công nghệ mới nhất với độ chính xác đến từng Micromet mà bác sĩ sẽ xem xét tình trạng cụ thể và lên phác đồ điều trị phù hợp.
Nha khoa Thúy Đức sở hữu trang thiết bị hiện đại nhất cùng với đội ngũ bác sĩ giàu kinh nghiệm tận tâm chắc chắn sẽ mang lại kết quả chỉnh nha hoàn hảo cho tất cả khách hàng.

Nếu có bất kỳ câu hỏi hay thắc mắc liên quan đến vấn đề niềng răng, vui lòng liên hệ HOTLINE 086.690.7886 – 093 186 3366 hoặc đăng ký tư vấn (không mất phí) với bác sĩ Đức AAO để được hỗ trợ sớm nhất ĐĂNG KÝ





